L’examen cardio-respiratoire aux ECOS
Aujourd’hui, on voit ensemble un sujet très important : l’examen clinique cardio-respiratoire.
Aujourd’hui, on voit ensemble un sujet très important : l’examen clinique cardio-respiratoire. Tu te demandes peut-être pourquoi c'est si important ?
Parce qu'un examen cardio-respiratoire, ça peut tomber en cardio, en pneumo, en néphro, ou sur un cas d'urgence. C'est un seul examen clinique, mais il y a plein de diagnostics.
S’il est maîtrisé, tu te mets toutes ces SDD dans la poche.
C'est pour ça que je te propose ce cas ECOS inédit. On va le décortiquer ensemble ensuite.
Mr Bajoul a du mal a respirer
Consignes à l'évaluateur
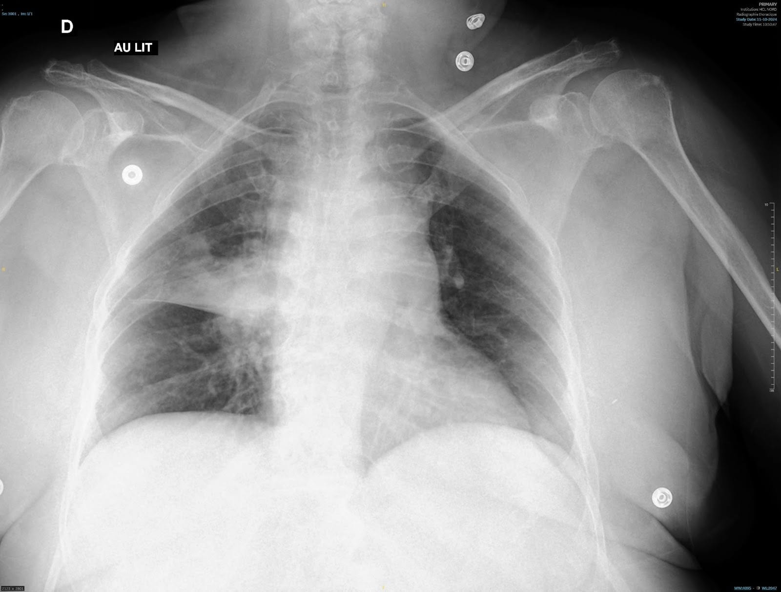
Interne aux urgences, vous recevez Mr Bajoul, 55 ans, pour dyspnée fébrile. Ce patient présente comme antécédent principal une BPCO Gold 2 sous bronchodilatateur de longue durée d’action, 1 inhalation le matin ainsi qu’une obésité avec IMC à 35. On note aussi une dyslipidémie non traitée, et un SAOS sous PPC.
• Il a un tabagisme actif, 1 paquet par jour depuis 25 ans.
• Il n’a pas d’allergies médicamenteuses.
Il vous dit avoir de la toux et de la fièvre depuis 48h avec des frissons, une dyspnée de moindre effort, une douleur latérothoracique droite.
Interne aux urgences, vous recevez Mr Bajoul, 55 ans, pour dyspnée fébrile. Ce patient présente comme antécédent principal une BPCO Gold 2 sous bronchodilatateur de longue durée d’action, 1 inhalation le matin ainsi qu’une obésité avec IMC à 35. On note aussi une dyslipidémie non traitée, et un SAOS sous PPC.
• Il a un tabagisme actif, 1 paquet par jour depuis 25 ans.
• Il n’a pas d’allergies médicamenteuses.
Il vous dit avoir de la toux et de la fièvre depuis 48h avec des frissons, une dyspnée de moindre effort, une douleur latérothoracique droite.

Vous disposez de 8 minutes, temps de lecture compris pour :
- Exposer à l’évaluateur les éléments de votre examen clinique
- Dire à l’évaluateur les anomalies thoraciques probables au vu du contexte et de la radiographie